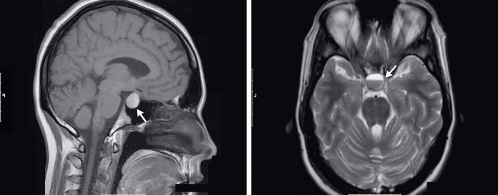
Гипоталамус и гипофиз представляют собой единую взаимосвязанную систему организма. Гипоталамо-гипофизарная система отвечает за работу всех желёз внутренней секреции.
Гипоталамус — высший регулятор нейроэндокринный системы, расположенный в базальном отделе головного мозга. Он участвует в регуляции вегетативных функций организма, отвечающих за артериальное давление, проницаемость сосудов, теплорегуляцию и теплоотдачу, аппетит, обменные процессы, регуляцию сна и психической деятельности. Гипоталамус осуществляет регуляцию деятельности периферических желёз внутренней секреции через гипофиз.


