Аортальный стеноз – это достаточно часто встречающийся порок сердца, при котором происходит затруднение оттока крови из левого желудочка, вследствие чего формируется комплекс изменений захватывающий и левый желудочек, и аорту [1].
Какие бывают варианты обструкции выводного тракта левого желудочка (аортального стеноза):
Подклапанная обструкция (мышечная обструкция ниже клапана)
Клапанная обструкция (обструкция на самом аортальном клапане)
Надклапанная обструкция (сужение аорты непосредственно над клапаном)
Обструкции выводного тракта левого желудочка могут быть врожденными или приобретёнными в более позднем возрасте (кальцификация или ревматическое поражение клапана сердца).
Аортальный стеноз у плода, как правило, является клапанным. При этом клапанном пороке развития сердца возникает затруднение тока крови из левого желудочка в аорту, что приводит к повышенной нагрузке (конечным диастолическим давлением) на левый желудочек, к снижению кровотока через левые отделы сердца, что в последствии приводит к фиброзу эндокарда и миокарда и остановке роста левых отделов сердца плода (формируется синдром гипоплазии левого сердца-HLHS).
По данным H.Dolk и Kitchiner D данный порок встречается с частотой 2,2-3,8 на 10000 живорождений и составляет 3-6% от всех врожденных пороков сердца. [1,2].
Открытый артериальный проток, коарктация аорты и дефект межжелудочковой перегородки является сопутствующими врожденными пороками сердца, обнаруживаемыми у 15-20% пациентов с аортальным стенозом [3].
Клапанный аортальный стеноз может возникнуть из-за неправильного развития створок клапана.
Различают несколько морфологических типов аномальных клапанов:
возможно полное срастание створок клапан между собой (одностворчатый клапан)-очень редкая аномалия (0,019% пациентов) [4].
отсутствие одной из створок (двустворчатый клапан)- самая распространенная патология (1-3% в популяции)- [5].
четырехстворчатый аортальный клапан- редкая патология
Двустворчатый аортальный клапан – самый распространенный врожденный порок сердца ( 1-3 % населения) [1], преобладает у плодов мужского пола ( в соотношении 3:1), наследуется в 89% случаев.
Развитие аортального стеноза имеет генетическую этиологию, описаны гены, которые ассоциируются с развитием обструкции выводного тракта левого желудочка: мутации генов системы NOTCH-1, мутации и варианты в нескольких генах семейства GATA(особенно GATA4, GATA5 и GATA6) [6].
Синдром гипоплазии левого сердца (СГЛС) — одна из самых сложных форм врождённого порока сердца (ВПС). Его можно определить, как спектр пороков сердца, характеризующихся значительной степенью недоразвития структур левого сердца (митрального клапана, левого желудочка, аортального клапана, восходящей аорты и дуги аорты), которые не способны обеспечить системную перфузию крови. Выявленный в середине 2 триместра (20-22 недели беременности) критический стеноз аортального клапана с большой долей вероятности будет прогрессировать до синдрома гипоплазии левого сердца. До 1983г эта патология у новорожденных считалась 100% летальной, однако введение в клиническую практику операции Норвуда, дополненной серией паллиативных операций Глена и Фонтена, дальнейшее совершенствование техники операций привело к революционному изменению и увеличению выживаемости пациентов с СГЛС. Основной задачей поэтапных паллиативных операций является хирургическое изменение анатомии сердца (объединение легочного ствола и аорты), позволяющее использовать правый желудочек в качестве основной насосной камеры (1 этап), обеспечивающей системную перфузию, а также создание кровообращения Фонтена: формирование кава-пульмонарных шунтов, обеспечивающих поступление венозной крови из системы полых вен непосредственно в легкие, минуя сердце (2 и 3 этапы). Несмотря на значительные успехи кардиохирургических вмешательств (выживаемость детей после проведения 1 этапа в высоко квалифицированных центрах составляет 95%), серия поэтапных операций, направленных на формирование одножелудочкового кровообращения, является паллиативной помощью. Так, по данным Питер П. Рулевельд только 2/3 детей после оперативного лечения доживают до 5 летнего возраста, а смертность после формирования кровообращения Фонтена составляет 1% в год. Продолжает оставаться актуальным вопрос необходимости трансплантации сердца у этих детей. Также нужно помнить и о потенциальных осложнениях хирургических вмешательств: паралич голосовых связок, необходимость в зондах для кормления, аритмии, энтеропатии, пластические бронхиты, проблемы нейроразвития [7].
Что можно сделать во время беременности при выявлении критического стеноза аортального клапана?
Основная задача фетальной хирургии при любом пороке развития плода – изменить ход развития заболевания in utero! При критическом аортальном стенозе философия внутриутробной операции заключается в разрушении стеноза аортального клапана, что позволяет спасти миокард левого желудочка, предотвратить формирование синдрома гипоплазии левого сердца и дать шанс ребенку иметь бивентрикулярное (двужелудочковое) кровообращение. Впервые операция по внутриутробной коррекции критического аортального стеноза (внутриутробная баллонная вальвулопластика, FAV/ Fetal Aortic Valvuloplasty) проведена Максвеллом в 1991г, хотя главными пионерами в этом направлении явились эндоваскулярные хирурги Бостонской детской больницы, которым, начиная с 2004 г удалось провести 165 внутриутробных операций [8]. На сегодняшний день в мире проведено около 500 вмешательств на сердце плода.
Какие показания для внутриутробной баллонной вальвулопластики?
Критерии отбора пациентов для внутриутробной аортальной вальвулопластики сформулированы в Международном регистре внутриутробных вмешательств на сердце плода и основаны на соблюдении 3х основных пунктов:
- во-первых, должен присутствовать критический аортальный стеноз,
- во-вторых, должен начать формироваться синдром гипоплазии левого сердца и
- в-третьих, еще должна быть надежда на сохранение левого желудочка у плода (т.е. должна быть возможность исхода в бивентрикулярное кровообращение [9].
Критерии отбора пациентов для внутриутробной баллонной вальвулопластики (основаны на данных ЭХОКГ плода):
1) наличие критического стеноза аортального клапана:
1. снижение подвижности створок аортального клапана
2.Антеградный поток через аортальный клапан (эффективное отверстие АК) меньше диаметра кольца клапана.
3.Отсутствие или минимальная подклапанная обструкция оттока левого желудочка
2) развивающийся синдром гипоплазии левого сердца (HLHS), определяемый как
- угнетение систолической функции ЛЖ и либо ретроградный поток в восходящей аорте,
- либо 2 из 3 признаков:
1.поток слева направо через овальное окно или выпячивание слева направо неперфорированной МПП
2.монофазный приток МК без волн Е и А
3. двунаправленный поток в легочных венах
3) наличие критериев возможности исхода в бивентрикулярное кровообращение после рождения:
- Z-оценка по длинной оси КДР ЛЖ ≥ –2
- Z-оценка длины ЛЖ > 0,
- кольцо аорты Z -оценка > –3,5,
- Z -оценка кольца МК > –2
- Митральная регургитация или AS-MIG ( макс градиент на аортальном клапане ≥ 20 мм рт. ст
Для возможности проведения внутриутробной операции должно присутствовать не менее четырех критериев из пяти вышеперечисленных.
Основным критерием успешно проведенной внутриутробной операции является рождение ребенка с бивентриулярным (двужелудочковым) кровообращением.
Средний срок проведения внутриутробной вальвулопластики – 27 недель беременности (гестационный диапазон 21-32 недели)
Техника операции внутриутробной баллонной аортальной вальвулопластики.
Как только по УЗИ диагностировано подходящее для выполнения вмешательства положение плода (грудная клетка плода должна быть обращена кпереди) проводится обезболивание плода путем внутримышечного введения ему растворов эсмерона, фентанила, атропина. Далее с помощью внутривенной анестезии обезболивается сама пациентка. Под ультразвуковой навигацией иглой 18 G послойно осуществляется прокол передней брюшной стенки, матки, игла подводится к грудной клетке плода, далее игла продвигается через грудную клетку в левый желудочек плода через верхушку сердца в направлении клапана аорты и фиксируется на половине расстояния от верхушки левого желудочка до аортального клапана. Далее комплекс баллон-проводник вводится через иглу и проводится до уровня клапана аорты, где проводится 2-3 раздувания и сдувание баллона с целью расширения стенозированного клапана. С помощью УЗИ подтверждается раскрытие клапана, после чего комплекс игла-баллон-проводник извлекаются из сердца плода.
Осложнение операции внутриутробной баллонной аортальной вальвулопластики.
Вероятность антенатальной гибели плода вследствие проведенного внутриутробного вмешательства составляет 10,7% по данным Tulzer A. et all. [10] и 4% по данным Friedman [11].
Осложнения при выполнении фетальной аортальной вальвулопластики по данным Tulzer A.:
- гемоперикард (скопление крови в полости перикарда) 10,4%( с целью коррекции проводится дренирование полости перикарда)
- брадиаритмия-30,4%( в некоторых случаях проводится внутрисердечное введение лекарственных препаратов)
- тромбоз в полости левого желудочка -13,6%
- преждевременные роды -26% (проводится профилактика токолитическими и антибактериальными препаратами)
- перфорация кольца аортального клапана- 18% (для предотвращения этого осложнения необходимо правильно выбирать размер баллона)
Первая в России удачная внутриутробная операция баллонной вальвулопластики проведена мультидисциплинарной командой врачей ГК «Мать и дитя» в 2023году, что было подробно изложено профессиональных медицинских изданиях и на конференциях.
Клиническое наблюдение
У пациентки 33 лет при сроке беременности 21 неделя при проведении второго скринингового УЗИ у плода выявлен порок сердца: критический стеноз аортального клапана (АК).
Для определения тактики ведения беременности, с целью исключения хромосомных аномалий, был проведён амниоцентез. Кариотип плода 46 ХУ.
Далее проводилось ультразвуковое динамическое наблюдение, при котором определялись степень аортального стеноза, диаметра фиброзных колец аортального и митрального клапанов, количественная оценка нарушения сократительной функции миокарда ЛЖ, эхогенности миокарда, кровотока в восходящей аорте.
На основании полученных данных производилась оценка необходимости и возможности пренатальной коррекции порока.
В сроке беременности 27-28 недель были получены данные, соответствующие критериям проведения внутриутробной вальвулопластики:
- Наличие эхографических признаков аортального стеноза со снижением подвижности створок АК. Диаметр эффективного отверстия АК на момент исследования составил 1,8 мм. Антеградный поток на АК оказался существенно меньше диаметра фиброзного кольца АК, который составил 4,2 мм. Признаки субаортального стеноза отсутствовали.
- Отмечалось снижение сократительной функции миокарда ЛЖ. Фракция выброса ЛЖ на момент исследования составила 20 %.
- Регистрировался двунаправленный поток в восходящей части и дуге аорты, трансмитральный поток имел монофазный характер, отмечался лево-правый сброс на овальном окне, а также двунаправленный поток в легочных венах.
- Имелись ультразвуковые предикторы возможности сохранения бивентрикулярного типа кровообращения, соответствующие Международному регистру внутриутробных вмешательств на сердце плода.
Учитывая соответствие данных эхокардиографического исследования плода критериям международного регистра внутриутробных кардиологических вмешательств, принято решение провести внутриутробную баллонную аортальную вальвулопластику.
При проведении предоперационного УЗ-исследования были диагностированы задний вид и головное предлежание плода, что создавало благоприятные условия для внутриутробного вмешательства. Далее выполнена баллонная вальвулопластика в соответствии с методикой, описанной ранее.
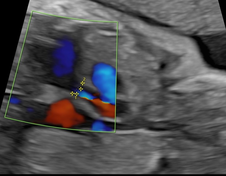
3 a. до выполненной вальвулопластики клапана аорты
3 b. после выполненной вальвулопластики клапана аорты и извлечения баллона с иглой
По данным ультразвукового исследования после выполненной вальвулопластики клапана аорты и извлечения баллона с иглой отмечается увеличение эффективного отверстия клапана аорты и отсутствие жидкости в полости перикарда.
Через 12 часов после операции было проведено ультразвуковое исследование сердца плода. Фракция выброса ЛЖ увеличилась до 24 %, диаметр эффективного отверстия АК составил 2,9 мм. Максимальный градиент на АК возрос до 21 mm Hg, митральная регургитация уменьшилась с тотальной до 2 степени. Жидкости в полости перикарда обнаружено не было.
В послеоперационном периоде пациентке проводилась токолитическая и антибактериальная терапия. На третьи сутки беременная выписана для амбулаторного наблюдения.
Далее беременность протекала без особенностей, при сроке беременности 38 недель пацентка была родоразрешена, произведено чревосечение по Джоэл-Кохану. Кесарево сечение в нижнем маточном сегменте поперечным разрезом,
Извлечен живой доношенный мальчик 2630 г, 48 см, 8-9 баллов по шкале Апгар.
По данным ЭХО КГ на 1 сутки:
- Фракция выброса левого желудочка - 46%,
- Пиковый систолический градиент на аортальном клапане - 65 мм рт.ст.
На 5-е сутки жизни в Морозовской ДГКБ ДЗМ ребенку проведена постнатальная транслюминальная баллонная вальвулопластика аортального клапана
НК 2А ст. II ФК по Ross
Ребенок выписан в возрасте 27 дней, вес 2788 г, в удовлетворительном состоянии, гемодинамика стабильная
Остаточный пиковый градиент на АК - 20 мм рт.ст.
Фракция выброса левого желудочка - 56%.
Проведённое внутриутробное вмешательство позволило предотвратить повреждение миокарда левого желудочка у данного ребенка и сохранить бивентрикулярное кровообращение, избежав серии тяжелых паллиативных операций.
Маршрутизация пациенток с критическим аортальным стенозом у плода.
- При подозрении на стеноз аортального клапана у плода в первую очередь необходимо записаться на приём специалистов пренатальной ультразвуковой диагностики КГ MD GROUP на Севастопольском: Мальмберг О.Л. или Самсонова О.А.
- В день УЗИ пройти консультацию генетика КГ MD GROUP на Севастопольском Мамаевой А.В, на приёме будет обсуждаться необходимость проведения генетического тестирования плода.
- На прием генетика будет приглашена руководитель отделения беременности высокого риска Шаманова М.Б. , с которой будет обсуждена дальнейшая тактика ведения, будет назначена консультация детского кардиохирурга.
- После предварительного обследования необходимо будет пройти консилиум с академиком Курцером М.А., на котором будет принято окончательное решение о проведении внутриутробной баллонной вальвулопластики и пациент познакомится со всей командой фетальных хирургов.
- В назначенный день пациентка госпитализируется, будут взяты все необходимы анализы, начнется токолитическая и антибактериальная терапия, будет проведена профилактика РДС плода.
- Далее будет выполнено само внутриутробное вмешательство.
- Через 1-2 дня можно будет выписаться домой.
- Еженедельно будет проводиться ЭХОКГ плода.
- Родоразрешение проводится в КГ MD GROUP на Севастопольском в доношенном сроке, метод родоразрешения выбирается по акушерским показаниям.
Список литературы:
1. Эпидемиология Том 42, Выпуск 4стр. 641-647Октябрь 1978г. Врождённые пороки сердца у 19502 новорождённых с длительным наблюдениемХоффман Джулиен И.Э., доктор медицинских наук, FACCa,b ∙ Кристиансон Роберта
2. Br Сердце J. 1994 июнь; 71 (6): 588-95. doi: 10.1136/hrt.71.6.588. Частота возникновения и прогноз обструкции выносящего тракта левого желудочка в Ливерпуле (1960–1991): исследование 313 пациентов Ди Китчинер 1, М. Джексон, Н Малайя, К. Уолш, Я Пирую, Р. Арнольд
3. Артериосклеротический тромб Vasc Biol. 2020 Апр;40(4):885-900. Стеноз аортального клапана: от основных механизмов к новым терапевтическим целям. Филип Роджер Гуди # 1, Мохаммед Рабиул Хосен 1, Доминик Кристманн 1, Sven Thomas Niepmann 1, Andreas Zietzer, Матти Адам 2, Florian Bönner 3, Себастьян Циммер 1, Georg Nickenig 1, Феликс Янсен
4. Heart Valve Dis. 2003;12:674–8. Распространенность и эхокардиографические особенност врожденного одностворчатого аортального клапана у взрослых. Новаро Г.М., Мишра М. и Гриффин Б.П.
5. Журнал Американской коллегии кардиологов. 2010;55:2789–800 Болезнь двустворчатого аортального клапана. Сиу С.К. и Сильверсайдс К.К.
6. Circ Res. 2021 Apr 29;128(9):1330–1343.Генетические факторы и факторы развития аортального стеноза Пунаши Датта 1,2, Жанна Ф. Джеймс 1,2, Привет, Казик 1,3, Джой Линкольн 1,2,#
7. Кардиол Янг. 2018 Nov;28(11):1275-1288. doi: 10.1017/S104795111800135X. Опубликовано 18 сентября 2018 г.Синдром гипоплазии левых отделов сердца: от плода к фонтануПитер П. Рулевельд 1, Дэвид М. Аксельрод 2, Darren Klugman 3, Мелисса Би Джонс 3, Нихил К Чанани 4, Джозеф У. Россано 5, Джон М. Костелло 6
8. JACC Adv2024, 2 февраля, 3(3):100835. doi: 10.1016/j.jacadv.2024.100835 Технический успех и серьёзные осложнения при вальвулопластике аортального клапана плода в большой группе пациентов за 20 лет Райан Каллахан *а,, Кевин Джи Фридман би, Уэйн Двурецки би, Джесси Джей Эш б, Линн Спящая б, Минмин Лу би, Ариэль Мизрахи-Арно си, Ролан Бруссо си, Терра Лафранчи б, Луиза Э. Уилкинс-Хог д., Стефани Х. Гусех д., Кэрол Б. Бенсон e, Мэри Си Фрэйтс э, Мирджам Кеочакян б, Диего Поррас b
9. Джей Ам Колл Кардиол. 2015 Jul 28;66(4):388-99. doi: 10.1016/j.jacc.2015.05.037. Международный реестр кардиохирургических вмешательств у плода: совместное описание по всему миру и предварительные результаты Анита Джей Мун-Грейди 1, Шейн - это Моррис 2, Майкл Белфорт 2, Рамен Чмаит 3, Joanna Dangel 4, Роланд Девлигер 5, Стивен Эмери 6, Мишель Фроммельт 7, Alberto Galindo 8, Sarah Gelehrter 9, Ulrich Gembruch 10, София Гриненко 11, Мунира Хабли 12, Ulrike Herberg 13, Эдгар Джегги 14, Марк Килби 15, Эфтихия Контопулос 16, Пабло Маранц 11, Оуэн Миллер 17, Lucas Otaño 11, Carlos Pedra 18, Симона Педра 18, Джей Пруэтц 19, Ruben Quintero 20, Грег Райан 21, Герлин Шарланд 17, Джон Симпсон 17, Эмануэль Властос 22, Уэйн Двурецки 23, Луиза Уилкинс-Хауг 24, Дик Оепкес 25; Международный реестр кардиологических вмешательств у плода
10. Ультразвуковое Акушерско-Гинекологическое исследование. 2022 Май;59(5):633-641. doi: 10.1002/uog.24792. Опубликовано 11 апреля 2022 г.Вальвулопластика у 103 плодов с критическим стенозом аорты: результаты и новые прогностические факторы для постнатального кровообращения Тулзер 1, W Arzt 2, R Gitter 1, E Sames-Dolzer 3, M Kreuzer 3, Р Мэйр 3, Джи Тулзер 1
11. Ультразвуковое Акушерско-Гинекологическое исследование. 2018 август; 52(2): 212-220. doi: 10.1002/uog.17530. Опубликовано 4 июля 2018 г. Повышенная техническая успешность, постнатальные результаты и уточненные прогностические факторы для аортопластики у плода К. Г. Фридман 1 2, Я Спящий 1 2, Л. Р. Фрейд 1 2, Он Же Си Маршалл 1 2, Мистер Годфри 1 2, М. Дрогош 1, Т Лафранчи 1, Си Би Бенсон 3 4, Л. Э. Уилкинс-Хауг 3 4, W Двурецкий 1 2

- Акушер-гинеколог
- Ведение беременности







