Хирургия кисти — это область травматологии и ортопедии, занимающаяся диагностикой, консервативным и оперативным лечением, а также профилактикой травм и заболеваний кисти и предплечья.
Какие виды помощи мы оказываем?
- устранение вывихов;
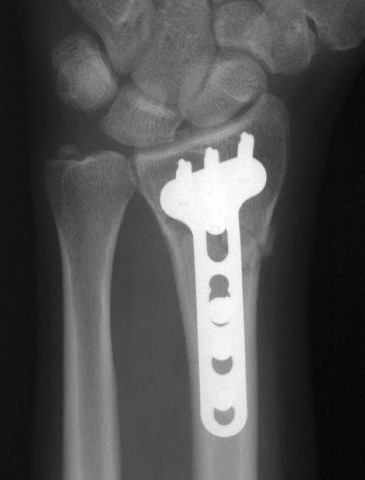
- различные виды накостного и внутрикостного остеосинтеза костей кисти и предплечья с использованием импортных и лучших представителей отечественных имплантов;
- сухожильно-мышечная пластика с использованием современного импортного шовного материала(шов сухожилий, пластика сухожилий, транспозиция сухожилий);
- реконструктивные виды помощи при повреждении периферических нервов верхних конечностей (шов нерва, невролиз, пластика нерва, транспозиция нерва);
- современное минимально-инвазивное лечение дегенеративно-дистрофических заболеваний кисти и предплечья ( устранение туннельных синдромов («Щелкающий палец», Болезнь ДеКервена, эпикондилиты, тендопериоститы, контрактура Дюпюитрена);
- корригирующие операции при лучевой и локтевой косорукости (неправильно сросшиеся переломы луча в типичном месте);
- оперативное лечение пациентов с костной онкологией.
Помощь пациентам с травмами и заболеваниями кисти в Клинических госпиталях ГК «Мать и дитя» оказывается:
- в амбулаторных условиях (в поликлинике),
- в условиях стационара (дневная форма пребывания и круглосуточная).
Сроки пребывания в стационаре варьируются от 1 до 5 дней.
Дальнейшее послестационарное лечение и его сроки зависят от патологии и рассматриваются индивидуально.



